Патология плаценты при COVID-19

Фото носит иллюстративный характер. Из открытых источников.
Как и все категории населения, беременные подвержены заражению коронавирусной инфекцией. В таких случаях всегда рассматриваются риски развития типичных для вируса SARS-CoV-2 поражений органов и тканей со стороны как матери, так и плода. Связующим звеном между двумя организмами является плацента. Изучение изменений в ткани и сосудистом русле плаценты представляет особый интерес для исследователей. На прошедшем недавно в Минске четвертом съезде патологоанатомов с докладом на эту тему выступил заведующий отделением детской патологии Городского клинического патологоанатомического бюро Минска, кандидат мед. наук Иван Сахаров.
Пути проникновения инфекции в плод
Как сообщил Иван Сахаров, при любых инфекциях наиболее очевидными являются два способа проникновения инфекционного агента в плод. Во-первых, путем заглатывания или аспирации инфицированных околоплодных вод, что обычно происходит при бактериальных инфекциях. Восходящий путь распространения бактериального агента в ткани плода вызывает классический инфекционный процесс.
Для большинства вирусных инфекций (и некоторых бактериальных) характерен второй путь: преодоление инфекционным агентом плацентарного барьера и попадание в кровь плода с развитием инфекции, причем сразу генерализованной формы, с клиническими и морфологическими проявлениями.
Иван Сахаров:
Есть еще один путь влияния патологического инфекционного процесса в организме матери на плод, он реализуется через поражение плаценты. При этом инфекционный агент не проникает в кровоток плода, но развивающиеся в плаценте патологические изменения могут привести к гибели плода. В опосредованном поражении плода через плаценту могут быть задействованы два патогенетических механизма (см. рис. 1).
Инфицирование плаценты ведет к воспалительным изменениям, что сопровождается выбросом медиаторов воспаления. Циркулируя в организме плода, они вызывают клинические проявления инфекционного процесса, хотя инфекционный агент в организме плода отсутствует. Второй механизм реализуется из-за нарушений плацентарного кровотока, которое приводит к гипоксии плода. Эти два механизма не исключают друг друга, могут комбинироваться, в т. ч. и с реализацией путей проникновения возбудителя в кровоток плода.
Рисунок 1. Патогенетические механизмы поражения плода через плаценту.
Вирусное поражение клеток
Иван Сахаров:
ДНК- и РНК-содержащие вирусы по-разному поражают клетку. Многие ДНК-вирусы (ЦМВ, ВПГ 1-го и 2-го типа, вирус краснухи, ВИЧ, вирус Зика) способны преодолевать плацентарный барьер, вызывать характерные изменения со специфической морфологической картиной.
Так, ЦМВ и ВПГ вызывают хронический лимфоплазмоцитарный виллит и интервиллит, а также характерные изменения клеток, которые выявляются иммуногистохимическими методами. При вирусной инфекции Зика воспалительный ответ отсутствует, но может наблюдаться пролиферация макрофагов.
РНК-вирусы гораздо сложнее для диагностики — они не имеют специфической морфологии поражения. При исследовании плаценты выявляется воспаление в межворсинчатом пространстве — неспецифический интервиллит, а также массивное выпадение фибрина, которое ведет к нарушению кровотока.
Специалист напомнил, что с коронавирусными инфекциями человечество встречается уже не в первый раз. Так, в 2002–2004 годах при вспышке инфекции SARS-CoV было зафиксировано заражение около 100 беременных. Инфекция сопровождалась повышенным риском материнской смертности и невынашивания беременности. При этом в плаценте выявлялись лишь нарушения материнского и фетального кровотока без специфической морфологической картины.
Вторая вспышка коронавирусной инфекции MERS-CoV, известная как ближневосточный респираторный синдром, имеет вялотекущий характер, c 2012 года продолжается до сих пор и ограничена странами ближнего Востока. Распространяется как антропоноз, с передачей вирусов от верблюдов к человеку. Описано около 1 900 заболевших, в т. ч. 5 беременных.
Материнскийи фетальный кровоток в норме
Иван Сахаров:
Уникальность строения плаценты в том, что в ней встречаются два кровотока, которые между собой не смешиваются, этот момент является принципиальным. Плодный кровоток обеспечивается через сосуды пуповины, тут все обычно: артерии переходят в артериолы, артериолы разветвляются в капилляры в ворсинах, кровь собирается в венозные сосуды и затем по пупочной вене протекает через пуповину.
Материнский кровоток организован иначе. Приток крови осуществляется по материнским маточным артериям, которые заканчиваются не капиллярами, а межворсинчатым пространством. Артериальная кровь прибывает в ворсины, а собирается в маточные вены, минуя капиллярное русло, то есть из артерий идет сразу в вены (см. рис. 2).
Рисунок 2. Кровоток в плаценте в норме.
Беременные и SARS-COV-2
C самого начала пандемии COVID-19 стали появляться статьи о заражении беременных и патологии плаценты. Исследователи констатировали, что в большинстве плацент от беременных с подтвержденной коронавирусной инфекцией изменения отсутствуют или минимальные, обычно в 3-м триместре. Связь поражения плаценты с тяжестью протекания инфекции не установлена. Однако такие данные были в 2020-м и начале 2021 года, когда циркулировали штаммы «альфа», «бета», «гамма». Позже были описаны более тяжелые проявления коронавирусного поражения плаценты, что совпало по времени с появлением штамма «дельта».
Иван Сахаров:
Мы впервые увидели поражение ткани и сосудов плаценты на макро- и микроскопическом уровне.
Морфологические признаки поражения плаценты
Специалист суммировал все описанные в литературе возможные виды патологии, которые встречаются в плаценте при COVID-19. Как правило, преобладают нарушения материнского кровотока и воспалительные изменения, остальные встречаются в меньшей степени.

Массивное выпадение фибрина (см. рис. 3) — очень заметный и яркий признак. Иногда ворсины настолько замурованы выпавшим фибрином, что их трудно найти и рассмотреть, циркуляция материнской крови нарушена. Газообмен в плаценте значительно снижается или вовсе прекращается, что ведет к гипоксии и гибели плода.

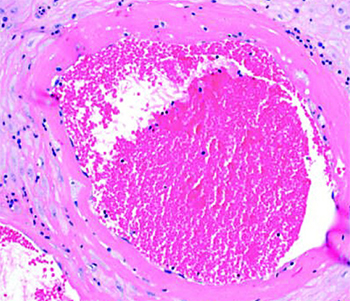
Тромбоз межворсинчатого пространства (см. рис. 4). В сосудах формируются слоистые тромбы, оттесняя на периферию ворсины, которые перестают участвовать в газообмене.
Иван Сахаров обратил внимание, что изменения настолько яркие, что видны на макроскопическом уровне. Если в норме плацентарная ткань рыхлая, насыщенного красного цвета и напоминает пропитанную кровью губку, то при тромбозе становится желтовато-серой, очень плотной и сухой. В ней имеются заполненные кровью участки — это кровоизлияния и формирующиеся тромбы.

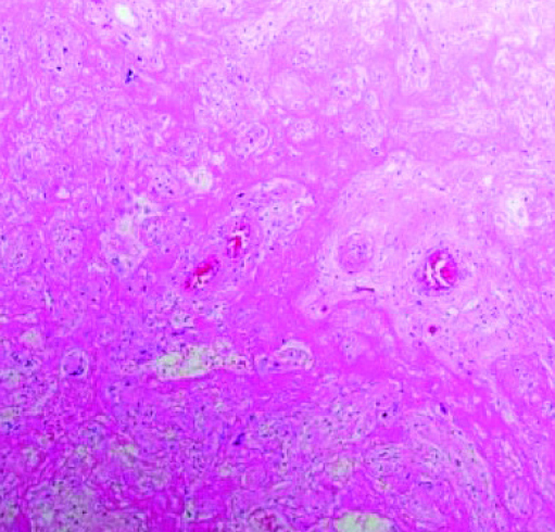
Децидуальная артериопатия (см. рис. 5) является характерным признаком. В стенках артериальных сосудов наблюдаются фибриноидный некроз и воспалительная инфильтрация.

Лимфогистиоцитарный виллит, тромбоз (см. рис. 6, 7).
В межворсинчатом пространстве видны скопления воспалительного инфильтрата, тромбоз сосудов ворсин, нарушения созревания ворсинчатого хориона.
«Стереотипная реакция плаценты на повреждение — это нарушение созревания. Как по литературным данным, так и на собственном опыте мы с этим сталкивались при подтвержденном COVID-19. В отличие от зрелой плацентарной ткани видна очень рыхлая строма. При выраженном лимфогистиоцитарном виллите, как правило, наблюдается тромбоз сосудов — и крупных, и капилляров».
Паттерны патологии
Иван Сахаров представил результаты собственных наблюдений патологии плаценты беременных с COVID-19. Анализ полученных данных позволил определить паттерны поражения плацентарной ткани.
Иван Сахаров:
Сканируя гистологические препараты на малом увеличении, мы видели крупные участки тромбоза с массивным выпадением фибрина в межворсинчатом пространстве. На большом увеличении в периферии участков тромбоза наблюдается воспалительная инфильтрация в ворсинах и межворсинчатом пространстве. Можно рассмотреть, как фибрин буквально заклеивает собой ворсины.
В основном это свежий фибрин, хотя наблюдаются и участки более зрелого фибрина. То есть на морфологическом уровне мы предполагаем, что поражение плаценты происходит достаточно быстро и ведет к гибели плода. Все это подтверждается и клиническими данными.
Исследуя воспалительную инфильтрацию межворсинчатого пространства, мы выполнили специфическое окрашивание. Инфильтрат преимущественно был представлен CD68-позитивными клетками, немногочисленными позитивными CD20, при этом CD3 фактически ничего не прокрашивалось.
Суммируя все признаки поражения плаценты при COVID-19, их можно разделить на три группы: нарушение материнского кровотока, фетального кровотока и воспалительные изменения.
Материнская мальперфузия — инфаркт, массивное выпадение фибрина и тромбоз в межворсинчатом пространстве, ускоренное созревание ворсин, децидуальная артериопатия.
Фетальная мальперфузия — тромбоз/стеноз сосудов ворсин, аваскулярные ворсины, задержка созревания ворсин.
Воспалительные изменения — хронический виллит, фетальный васкулит, интервиллит, базальный децидуит.
Иван Сахаров:
Имеющиеся литературные данные и собственные исследования свидетельствуют о неспецифическом поражении плаценты при COVID-19. Мы видим неспецифическую воспалительную инфильтрацию и нарушение кровотока.
Паттерн поражения указывает на микроангиопатию и/или коагулопатию у матери, вызванную COVID-19. Прорыв плацентарного барьера и внутриутробное инфицирование плода SARS-CoV-2 возможны, но, по имеющимся данным, происходят редко, в нашей практике мы наблюдали несколько подтвержденных случаев передачи вируса плоду.
Иллюстрации из открытых источников.
Источник: medvestnik.by